Breakthrough Endoscopic Surgery Rewrites the Playbook for Pediatric Neurosurgery
Chennai, December 20th, 2023: A seemingly innocent playtime accident nearly cost a 4-year-old boy from a remote Uttar Pradesh village his vision and life. Three months ago, a small injury and eye swelling spiralled into a serious orbital cellulitis with unrelenting pus discharge, causing vision loss in one eye. Despite months of antibiotics and countless doctor visits, the child’s fate remained uncertain.
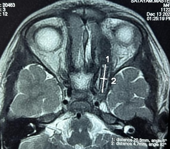
Finally, a desperate journey led the boy and his farmer father to Chennai. They were referred to SIMS Hospital, On examination of the MRI, specialists uncovered the reason behind the persistent infection: a 3-cm wooden stick lodged deep within the eye, extending into the cavernous sinus and dangerously close to the brain’s crucial blood vessels. Previous diagnoses missed this vital detail, jeopardising the child’s health with every passing day.
The stick’s location presented a monumental challenge. Traditional open-brain surgery carries significant risks. The Neuro team at SIMS Hospital boldly opted for a breakthrough solution: Endoscopic Endonasal surgery. This minimally invasive technique, typically used for brain tumour removal, was deployed to access the orbit and remove the stick through the right nostril, significantly reducing complications and recovery time.
Leveraging cutting-edge Neuro navigation and precision-guided technique, Dr. Vishwaraj Ratha, Senior Consultant, Neuro surgeon and Dr. Senthil Kumar, Senior Consultant Neuro Anaesthetist, at SIMS Hospital achieved a minimally invasive feat. Through a nasal endoscopic approach, they navigated the intricate sections of the orbit and successfully retrieved the foreign body, minimising collateral disruption and enabling rapid patient recovery within 48 hours. This pioneering intervention stands as a testament to the transformative power of advanced surgical technology in achieving optimal outcomes with minimal scar.
Endoscopic Endonasal surgery stands as a specialised and intricate method employed primarily for the removal of brain tumours, demanding a meticulous fusion of specialised training and precision instruments. SIMS Hospital is known for its proficiency in conducting these complex Endoscopic
Endonasal Procedures. The doctor’s team applied this sophisticated technique for the retrieval of a foreign body from the orbit, particularly within a young child – an unprecedented feat and rare surgery of its kind in the country. The utilisation of Endoscopic Endonasal surgery for young children remains an exceptionally rare practice globally, necessitating a specialised skill set encompassing both surgical finesse and anaesthesia expertise. This rarity further underscores the exceptional prowess and commitment to excellence evident at SIMS Hospitals.
In a gesture of compassion, Dr. Ravi Pachamuthu, Chairman, SRM Group extended substantial financial aid to the father, reaffirming the institution’s ethos of ensuring comprehensive and inclusive healthcare services. Dr. Ravi Pachamuthu added that “This case wasn’t just about saving a child’s life, it was about saving his family’s future. By combining pioneering surgery with compassionate care, SIMS Hospital has shown that medical miracles come in all forms. This little boy is a testament to advanced technology and his case showcases a brighter path for both medicine and humanity
Dr. Suresh Bapu, Director, Institute of Neurosciences, SIMS Hospital stated, ‘This revolutionary application of Endoscopic Endonasal surgery redefines medical boundaries and echoes our relentless pursuit of innovation and exceptional patient care. Performing complex surgery on such a young child with such a delicate foreign body required expertise in both surgery and anaesthesia, a rare collaboration SIMS Hospital takes immense pride in providing.”


About SIMS Hospital: SIMS Hospitals (SRM Institutes for Medical Science) is one of the leading multi-specialty hospitals in Chennai. This 345-bed hospital offers comprehensive healthcare experience across a wide range of specialities, including multi-organ transplant services. The hospital houses 15 modular OTs, 3 state-of-the-art cath labs (including 1 Bi-plane cath lab), advanced ICUs with HEPA -filters and innovative medical technologies, all under one roof. With the finest combination of experience, expertise, cutting-edge technology, well-coordinated multi-speciality Quaternary care facilities, and patient-centric teamwork, SIMS Hospital Chennai is committed to delivering services of international standards. SIMS Hospital offers holistic health care that includes prevention, prophylactic treatment and care, rehabilitation and lifestyle health education and guidance to patients, their families, and clients. At SIMS, every step is aimed at ensuring excellence in patient care.




















